Full Arch Implant Dentures in Tijuana by Pure
Restoring Smiles in Tijuana: Introducing a Dedicated Implant Center
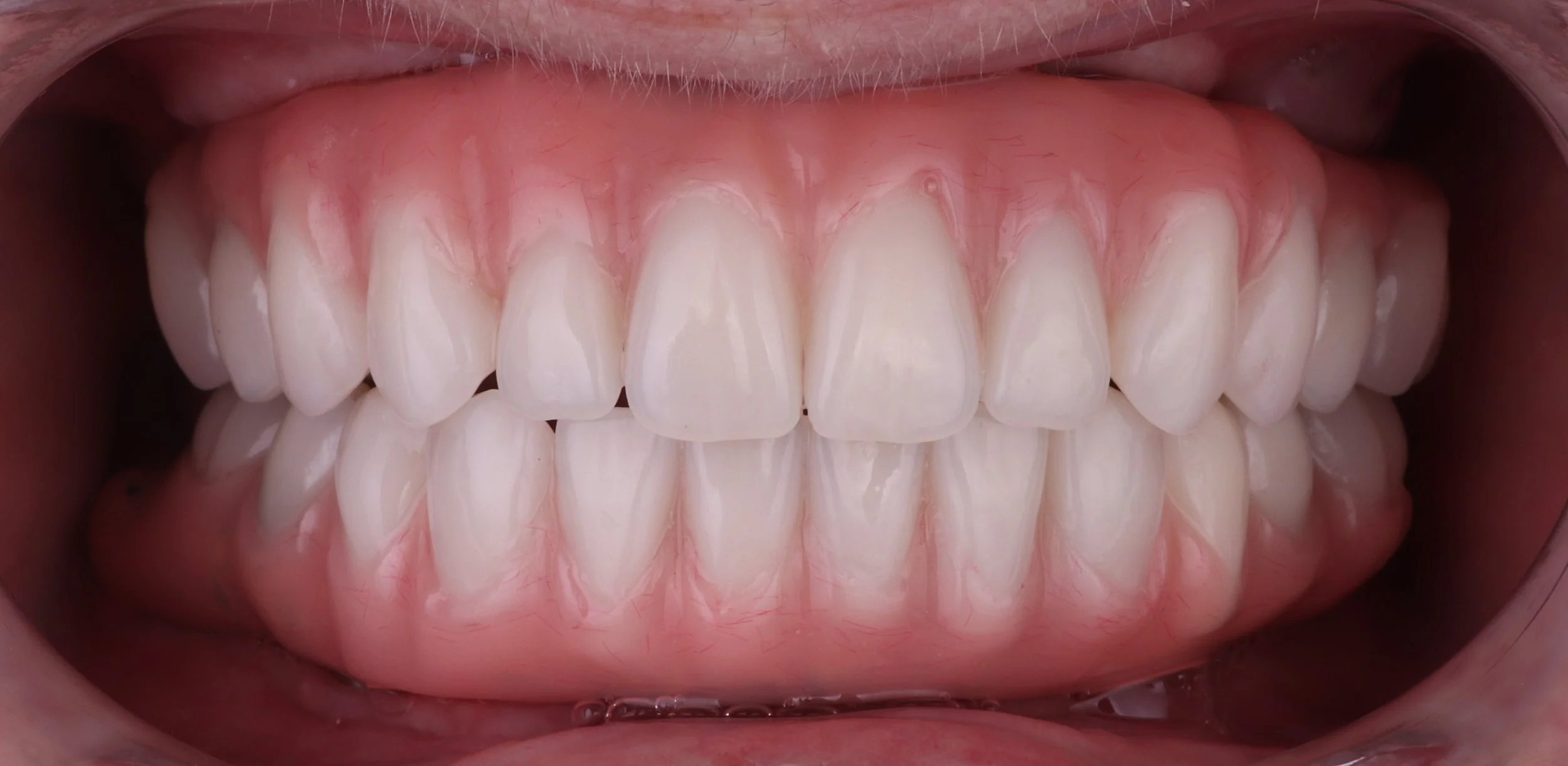
We’ve observed a significant rise in patients specifically seeking these services in Tijuana, Mexico, requiring precise and caring solutions to restore their smiles. This surge in interest has inspired us to take a significant step: the opening of a specialized dental implant center In association with Pure Aesthetic Dentistry we provide a service with a greater focus on dental implants.
Meet the Team
Claudia Traviesa
Periodontics & Implantology
Eidy Heras
Prostodontist
We're proud to introduce the dedicated professionals who make our practice exceptional. Their expertise and compassionate care ensure you receive the highest quality dental treatment.
Our Dental Implants in Tijuana Services
Single tooth Dental Implants Solutions
Single Tooth Dental Implants Tijuana Solutions: Affordable, High-Quality Restorations. Restore your smile with expert implant procedures in Tijuana. Get a natural-looking, lasting solution.
Full Arch Dental Implants Solutions
Full Arch Dental Implants (All on 4 or all on 6): Restore Your Entire Smile. Permanent, stable, and natural-looking full mouth dental implants. Get a complete smile transformation today!
Contact us
Interested in a good Implant Dentist in Tijuana? Please enter your information, and we'll be in touch shortly. We look forward to hearing from you

